Sofortimplantation und Sofortbelastung von Implantaten
Der Traum eines jeden Patienten, bei dem Zähne verloren gehen oder entfernt werden müssen, ist der, dass im Idealfall am gleichen Tag ein Implantat eingesetzt wird und mit einem Zahnersatz im Sinne einer Krone versorgt wird. Diese leider laienhafte Vorstellung wird von einigen Implantatherstellern unterstützt, die mit dem Konzept "Zähne in 1 Stunde" oder "Zähne an einem Tag" medienwirksam in Hochglanzmagazinen und sogar im Fernsehen werben, um ihre Verkaufszahlen zu erhöhen.
Definitionen:
Sofortimplantation heißt, dass an dem Tag der Zahnentfernung ein Implantat eingesetzt wird. Bei den heute gängigen Implantaten handelt es sich in der Regel um schraubenförmige oder zylindrische Implantate, so dass die Sofortimplantation primär bei einwurzeligen Zähnen sinnvoll erscheint.
Verzögerte Sofortimplantation, dass die Implantation nach Verschluss der Schleimhaut über dem Extraktionsfach erfolgt. Dieses ist nach ca. 6-8 Wochen der Fall und bedeutet noch nicht, dass der Knochen unterhalb der Schleimhaut regeneriert ist.
Eine Spätimplantation ist dann gegeben, wenn die Implantation in vollständig regeneriertem Knochen erfolgt. Dies kann bei einem einwurzeligen Zahn 3 Monaten dauern, bei mehrwurzeligen Zähnen auch 6-9 Monate, vor allen Dingen dann, wenn an den Wurzelspitzen Entzündungsprozesse wie Zysten zum Zahnverlust geführt haben.
Eine Sofortbelastung bedeutet nach der Leitlinie der deutschen Gesellschaft für Implantologie (DGI) und der DGZMK, dass die provisorische oder definitive Versorgung der Implantate innerhalb der ersten 24 Stunden erfolgen muss. Eine Sofortbelastung kann bei einer Sofortimplantation, bei einer verzögerten Sofortimplantation oder bei einer Spätimplantation erfolgen.
Der seriöse Zahnarzt und Implantologe wird die Indikation für eine Sofortimplantation und Sofortbelastung sehr streng eingrenzen, denn langfristiger Erfolg und zufriedene Patienten sind sowohl für den Patienten als auch für den Zahnarzt oberstes Gebot.
Kein Implantologe wird eine Sofortimplantation in einem entzündetem Gebiet vornehmen oder in einem in einem Gebiss mit einer akuten Zahnfleischerkrankung (Parodontose/ Parodontopathtie). Die Rahmenbedingungen müssen stimmig sein.

Unterkiefer mit einem konfektioniertem Steg
Die Sofortbelastung wird seit den 1970iger Jahren praktiziert. Vorreiter war der Schweizer Zahnarzt Dr. Ph. D. Ledermann, der ein sinnvolles Konzept für den zahnlosen Unterkiefer entwickelt hatte. Hier setzte er 4 Implantate in einen groß dimensionierten Kieferknochen und ließ am gleichen Tag einen verblockten Steg anfertigten. Mit diesem "Dolder"-steg war gewährleistet, dass die noch nicht eingewachsenen Implantate sich untereinander stabilisierten und Mikrobeweglichkeiten wurden minimiert, so dass die Implantate im Laufe der Zeit knöchern eingebaut wurden (Osseointegration) (Abb. 1).
Die erfolgsorientierte Sofortbelastung von Implantaten sollte eng an gute Voraussetzungen geknüpft werden. Hier zu zählen:
- gute knöcherne Voraussetzungen
- gutes Weichgewebe
- primäre Verblockung der Sofortimplantate über eine Stegschiene
- Kein Zähneknirschen (Bruxismus)
- Primärstabilität der Implantate
Bei Sofortimplantate und Sofortbelastungen bei Einzelzahnimplantaten kann keine Verblockung mit anderen Implantaten erfolgen. Hier ist es besonders wichtig, dass in der Einheilphase gewährleistet wird, dass keine Zahnkontakt zum Gegenkiefer besteht, damit auch nicht zufällig zu hart auf die Implantate gebissen wird. Wer diese Regeln beachtet und dazu noch eine perfekte Planung durchführt, der wird auch in diesem Grenzgebiet der Implantologie erfolgreich arbeiten und zufriedene Patienten haben.
Abb. 2 und 3: Sofortimplantat und provisorische Kunststoffkrone als Sofortbelastung, absichtlich zu "kurz", damit eine ungestörte Einheilung erfolgen kann
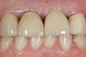
Abb. 4 und 5: Nach Einheilung des Implantates eine perfekte Schleimhautsituation mit einer perfekten Krone und einer zufriedenen Patientin
Dr. Jan Tetsch M.Sc.

